KD验证的抗Bcl-2重组兔单克隆抗体
产品名称: KD验证的抗Bcl-2重组兔单克隆抗体
英文名称: KD-Validated Anti-Bcl-2 Recombinant Rabbit Monoclonal Antibody
产品编号: CAS-67153
产品价格: null
产品产地: null
品牌商标: null
更新时间: 2025-12-15T16:33:14
使用范围: null
- 联系人 : 秦艺曼
- 地址 : 安徽省合肥市高新技术产业开发区兴园社区服务中心红枫路8号红枫智谷创业园B2栋350室
- 邮编 :
- 所在区域 : 安徽省
- 电话 : 151****4818 点击查看
- 传真 : 点击查看
- 邮箱 : support@cynomab.com

Flow cytometric analysis of Bcl-2 expression in HT-1080 cells using Bcl-2 antibody (Cat#CAS-67153, 1:2,000). Green, isotype control; red, Bcl-2.

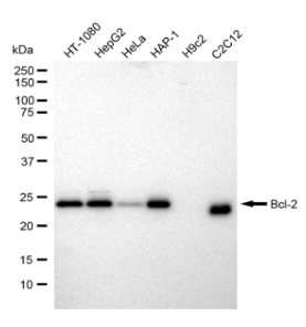
Western blotting analysis using anti-Bcl 2 antibody (Cat#CAS-67153). Total cell lysates (30 μg) from various cell lines were loaded and separated by SDS-PAGE. The blot was incubated with anti-Bcl 2 antibody (Cat#CAS-67153, 1:5,000) and HRP-conjugated goat anti-rabbit secondary antibody (Cat#CAS-212, 1:20,000) respectively. Image was developed using FeQ™ ECL Substrate Kit (Cat#CAS-237).

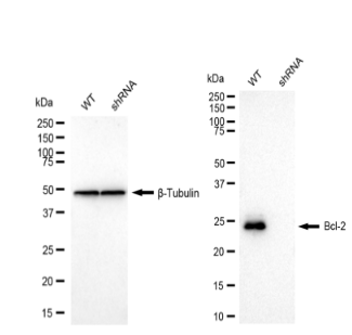
Western blotting analysis using anti-Bcl-2 antibody (Cat#CAS-67153). Bcl-2 expression in wild type (WT) and Bcl-2 shRNA knockdown (KD) HeLa cells with 20 μg of total cell lysates. β-Tubulin serves as a loading control. The blot was incubated with anti-Bcl-2 antibody (Cat#CAS-67153, 1:5,000) and HRP-conjugated goat anti-rabbit secondary antibody (Cat#CAS-212, 1:20,000) respectively. Image was developed using NaQ™ ECL Substrate Kit (Cat#CAS-727).
